Start » Schorzenia i leczenie stawu barkowego » Złamania barku » Osteosynteza kości ramiennej
Menu:
Schorzenia:
> Zapalenie torebki stawowej> Algodystrofia
Leczenie:
> Zapalenie torebki stawowej> Algodystrofia
Schorzenia
> Pęknięcie, podwichnięcieLeczenie zachowawcze
> Leczenie zachowawcze/początkoweLeczenie chirurgiczne
> Tenotomia> Tenodeza
Osteosynteza kości ramiennej
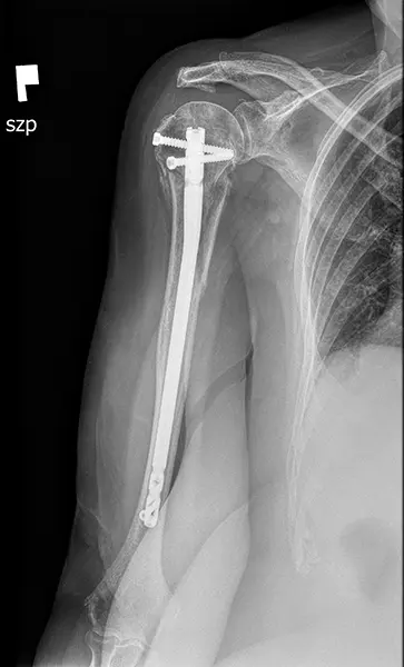
Osteosynteza to operacja mająca na celu zmniejszenie i ustabilizowanie złamanych fragmentów kości, zwłaszcza w przypadku złamań kości ramiennej. Zabieg ten polega na zespoleniu różnych fragmentów kości w jak najbardziej anatomicznej pozycji, co ma na celu przywrócenie integralności struktury kostnej oraz przywrócenie prawidłowej funkcji stawu ramiennego.
Zasada osteosyntezy kości ramiennej
W przypadku złamań górnej części kości ramiennej, istnieje kilka technik, które można zastosować. Mogą to być szpilki, płytki ze śrubami, same śruby lub gwoździe (metalowe pręty). Istnieje również możliwość rekonstrukcji guzowatości kości, co jest szczególnie ważne w przypadku naprawy ścięgna mankietu rotatorów.
Wybór techniki osteosyntezy
Każdy chirurg ma swoje preferencje i doświadczenie w zakresie wyboru techniki osteosyntezy. W niektórych przypadkach preferowane może być gwoździowanie śródszpikowe, gdzie wprowadza się gwoździe do głowy kości ramiennej i umieszcza się je w zagłębieniu trzonu kości strzałkowej. To pozwala na przymocowanie guzowatości do głowy kości ramiennej i trzonu za pomocą śrub oraz czasami szwów kostnych i ścięgnistych.
Opieka pooperacyjna po osteosyntezie
Po operacji osteosyntezy kości ramiennej, pacjent jest hospitalizowany przez około 48 godzin, chyba że wystąpią powikłania lub inne powiązane patologie.
W okresie rekonwalescencji konieczny jest odpoczynek ramienia z wykorzystaniem specjalnych opasek lub aparatów przez okres około 4 tygodni. Natychmiastowa fizjoterapia jest zwykle ograniczona do ruchów wahadłowych przez pierwszy miesiąc oraz mobilizacji łokcia i drenażu limfatycznego w celu zmniejszenia obrzęku.
Po około miesiącu od operacji, pacjent poddawany jest pierwszej kontroli, podczas której lekarz wykonuje kontrolne zdjęcie rentgenowskie i ocenia postępy w procesie leczenia. W zależności od wyników, pacjent może rozpocząć fizjoterapię nadal pod kontrolą specjalisty.
Kolejne konsultacje przewidziane są po:
- 3 miesiącach,
- 6 miesiącach,
- 12 miesiącach od operacji.
Czas rekonwalescencji i możliwe powikłania
Czas rekonwalescencji po osteosyntezie kości ramiennej wynosi zazwyczaj od 3 do 6 miesięcy. Ruchomość barku może ulec poprawie w ciągu roku po operacji. Chociaż operacja może poprawić wyniki funkcjonalne i mobilność, mogą wystąpić skutki uboczne, takie jak ograniczenie mobilności.
W rzadkich przypadkach mogą pojawić się powikłania, takie jak zapalenie torebki stawowej, algodystrofia, zakażenie materiału czy pseudoartroza. W takich przypadkach konieczne jest dodatkowe leczenie i interwencje chirurgiczne.
Osteosynteza kości ramiennej to skomplikowana procedura, która wymaga odpowiedniej opieki pooperacyjnej i długotrwałej rekonwalescencji, ale może znacząco poprawić jakość życia pacjenta poprzez przywrócenie stabilności i funkcji stawu ramiennego.