Start » Schorzenia i leczenie stawu barkowego » Zapalenie ścięgna stożka rotatorów » Wapniejące
Menu:
Schorzenia:
> Zapalenie torebki stawowej> Algodystrofia
Leczenie:
> Zapalenie torebki stawowej> Algodystrofia
Schorzenia
> Pęknięcie, podwichnięcieLeczenie zachowawcze
> Leczenie zachowawcze/początkoweLeczenie chirurgiczne
> Tenotomia> Tenodeza
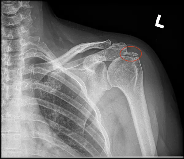
Wapniejące zapalenie ścięgna stożka rotatorów
Wapniejące zapalenie ścięgna stożka rotatorów to schorzenie, które charakteryzuje się obecnością zwapnień zbudowanych z kryształów hydroksyapatytu w obrębie ścięgna. Chociaż dokładne pochodzenie tych zwapnień pozostaje nieznane i może mieć podłoże genetyczne, to schorzenie to może wywoływać różnorodne objawy. Poniżej przedstawiam bardziej szczegółowy opis tego stanu oraz dostępne metody diagnozowania i leczenia.
Zwapnienia w obrębie mankietu rotatorów są dość powszechne, występują u około 5% populacji, jednak rzadko prowadzą do objawów (objawowe przypadki stanowią zaledwie około jednej trzeciej wszystkich przypadków).
Rozróżniamy dwa rodzaje zwapnień w obrębie mankietu rotatorów:
- Zwapnienia powodujące stan zapalny (zwapnienie ścięgna) i/lub deformację mankietu rotatorów.
- Tendinopatie (nieuszkodzone lub pęknięte), które są właściwymi chorobami ścięgien.
Kiedy zwapnienia stają się objawowe, mogą przechodzić przez kilka bolesnych faz przed samorzutnym ustąpieniem (co jest związane z zaostrzeniem stanu zapalnego). Niektóre przypadki nie wykazują samoistnej poprawy.
Choroba ta występuje głównie u młodych kobiet i nie jest zazwyczaj związana z nadmiernym obciążeniem stawów lub konfliktem podbarkowym. Ból może być związany z nadciśnieniem wewnątrzścięgnistym, konfliktem podbarkowym wtórnym do wielkości lub objętości zwapnienia oraz zapaleniem kaletki podbarkowej, szczególnie podczas faz resorpcji zwapnień. W niektórych przypadkach ból jest na tyle silny, że istnieje ryzyko wystąpienia zapalenia torebki stawowej, co prowadzi do sztywności i zwiększonej wrażliwości barku.
Wapniejące zapalenie ścięgna:
Zwapnienia w obrębie mankietu rotatorów mogą przybierać różne formy, takie jak dobrze zdefiniowane, zaokrąglone (typ A), wielopłatowe (typ B) lub o niewyraźnych, mętnych granicach (typ C). Ważne jest, aby nie mylić ich z mikrozwapnieniami, które stanowią część entezopatii zwapnieniowej, wskazującej na bardziej klasyczne zapalenie ścięgna bez obecności zwapnień.