Start » Schorzenia i leczenie stawu barkowego » Staw barkowo-obojczykowy » Rekonstrukcja więzadła barkowo-obojczykowego
Menu:
Schorzenia:
> Zapalenie torebki stawowej> Algodystrofia
Leczenie:
> Zapalenie torebki stawowej> Algodystrofia
Schorzenia
> Pęknięcie, podwichnięcieLeczenie zachowawcze
> Leczenie zachowawcze/początkoweLeczenie chirurgiczne
> Tenotomia> Tenodeza
Rekonstrukcja więzadła barkowo-obojczykowego
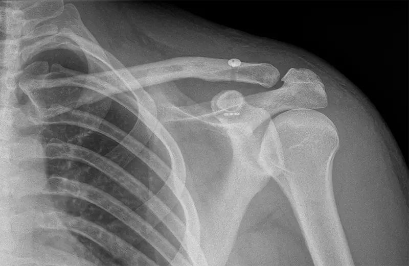
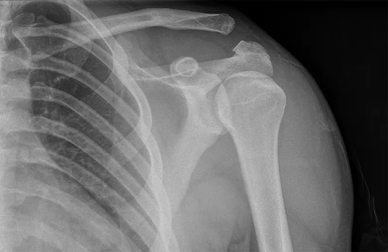
Rekonstrukcja więzadła barkowo-obojczykowego to zabieg, który ma na celu zmniejszenie diastazy barkowo-obojczykowej. Procedura ta odgrywa kluczową rolę w zapobieganiu opadaniu kończyny górnej oraz zmniejszeniu przestrzeni barkowo-obojczykowej.
Diastaza barkowo-obojczykowa często jest wynikiem urazów, takich jak upadek na ramię. Procedura rekonstrukcji więzadła barkowo-obojczykowego może znacząco pomóc w redukcji diastazy i sprzyja gojeniu więzadeł w ciągu pierwszych 3 tygodni od urazu.
Główne rodzaje operacji w zależności od czasu, który upłynął od urazu:
Niedawna lub ostra dysfunkcja (do 3 tygodni po urazie): W tym przypadku zazwyczaj wystarczająca jest ligamentoplastyka. Celem tego zabiegu jest osiągnięcie ukierunkowanego gojenia więzadeł łopatkowo-ramiennych. Istnieje kilka technik, które pozwalają uniknąć opadania barku i sprzyjają procesowi gojenia więzadeł barkowo-obojczykowych, takie jak „osteosynteza” barkowo-obojczykowa lub „osteosynteza” kruczo-barkowa. Sztuczna rekonstrukcja więzadła kruczo-obojczykowego jest również opcją i polega na przeprowadzeniu więzadła do dwóch tuneli przez obojczyk i wyrostek kruczy w celu stworzenia sztucznego więzadła.
Długotrwałe lub przewlekłe dysfunkcje: Jeśli minęło więcej niż 3 tygodnie od urazu, uważa się, że zerwane więzadła między obojczykiem a wyrostkiem kruczym nie mają zdolności do regeneracji. W takim przypadku konieczna jest wymiana więzadła, często w połączeniu ze sztucznym więzadłem. Można zastosować różne techniki stabilizacji, takie jak używanie więzadła kruczo-obojczykowego lub ścięgna własnego lub przeszczepu.
Rekonstrukcja więzozrostu barkowo-obojczykowego
Procedury rekonstrukcji więzadła barkowo-obojczykowego stanowią ważne narzędzie w leczeniu urazów i dysfunkcji stawu barkowo-obojczykowego. Wybór odpowiedniej techniki zależy od indywidualnych okoliczności pacjenta, w tym czasu od urazu i charakterystyki uszkodzenia więzadeł. Przed przystąpieniem do operacji, lekarz przeprowadza dokładną ocenę, aby określić najlepszą strategię leczenia.